- Beranda
- Komunitas
- Entertainment
- The Lounge
Dandy Walker Syndrome, Penyakit Sporadis yang Mengambil Adam Fabumi


TS
ciloktusuk
Dandy Walker Syndrome, Penyakit Sporadis yang Mengambil Adam Fabumi
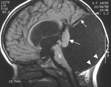
Penyakit dandy walker syndrome merenggut nyawa bayi Adam Fabumi pada Rabu, 22 November 2017. Ternyata, penyakit ini telah diderita Adam semenjak masih berada dalam kandungan ibunya, Ratih Megasari. Orangtuanya selalu mengunggah setiap perjuangan bayi Adam melawan penyakit ini ke akun instagram @adamfabumi yang dikelola keduanya.
Kerap kali, gejala muncul saat lahir atau masih bayi, dan mencakup perkembangan motorik yang lebih lambat dan pembesaran tengkorak yang progresif. Ketika terjadi pada anak yang leih tua, gejala akan meningkat, seperti muntah-muntah, kejang, atau iritabilitas.
Gejala yang lainnya adalah lingkar kepala membesar; bagian tengkorak belakang menonjol; bermasalahnya saraf yang mengontrol mata, wajah, dan leher; dan pola pernapasan yang cenderung tidak normal.
Dandy walker syndrome termasuk langka dan sporadis, karena terjadi hanya setiap 30 ribu kelahiran hidup. Diagnosis prenatal dan prognosisnya bisa jadi sulit, namun masih terdapat kemungkinan bahwa diagnosis prenatal bisa dilakukan melalui ultrasound.
Serem ya gan.. Kita doain yang terbaik ya buat bayi Adam! Bayi Adam pasti udah bahagia di sana dan bermain sama teman-teman lainnya. Kita juga doain buat kedua orangtuanya. Semoga selalu diberi ketabahan dan keyakinan bahwa inilah yang terbaik. Amiiiiin

Quote:
Kerap kali, gejala muncul saat lahir atau masih bayi, dan mencakup perkembangan motorik yang lebih lambat dan pembesaran tengkorak yang progresif. Ketika terjadi pada anak yang leih tua, gejala akan meningkat, seperti muntah-muntah, kejang, atau iritabilitas.

Gejala yang lainnya adalah lingkar kepala membesar; bagian tengkorak belakang menonjol; bermasalahnya saraf yang mengontrol mata, wajah, dan leher; dan pola pernapasan yang cenderung tidak normal.

Quote:
Dandy walker syndrome termasuk langka dan sporadis, karena terjadi hanya setiap 30 ribu kelahiran hidup. Diagnosis prenatal dan prognosisnya bisa jadi sulit, namun masih terdapat kemungkinan bahwa diagnosis prenatal bisa dilakukan melalui ultrasound.

Quote:
Serem ya gan.. Kita doain yang terbaik ya buat bayi Adam! Bayi Adam pasti udah bahagia di sana dan bermain sama teman-teman lainnya. Kita juga doain buat kedua orangtuanya. Semoga selalu diberi ketabahan dan keyakinan bahwa inilah yang terbaik. Amiiiiin


0
4.4K
6


Komentar yang asik ya
Urutan
Terbaru
Terlama


Komentar yang asik ya
Komunitas Pilihan