Kaskus

Story

zeropromosiAvatar border
TS
zeropromosi
Bahaya merokok bagi wanita
Di dalam rokok mengandung zat – zat adiktif yang dapat berbahaya bagi tubuh, terutama bagi seorang wanita. Merokok biasa dilakukan bagi kaum pria, tapi saat ini kebanyakan wanita sering melakukan hal seperti ini . Padahal hal ini dapat berdampak buruk bagi kesehatan .
Tahukah anda mengapa seorang wanita dilarang merokok?

Bahaya merokok bagi wanita
Nah berikut ini ada beberapa alasan mengapa wanita dilarang mengkonsumsi rokok :

1. Mengganggu Kesehatan
Bahaya merokok bagi wanita
Kesehatan hal yang paling diutamakan dalam tubuh kita, kesehatan itu harus dirawat dan dijaga agar tubuh dapat tetap sehat . Didalam rokok mengandung zat berbahaya yang dapat menyerang kesehatan tubuh pria maupun wanita terutama dibagian paru – paru yang dapat menyebabkan kanker dan serangan jantung.

2. Menganggu Kesehatan Bayi
Bahaya merokok bagi wanita
Merokok saat hamil beresiko sekali bagi bayi dalam kandungan, karena asap rokok akan meningkatkan resiko bayi lahir cacat dan menderita bipolar sindrom saat mereka dewasa nantinya. Selain itu asap rokok akan merampas oksigen yang sangat dibutuhkan bagi perkembangan janin. Bagi para ibu hamil sebaiknya hentikan kebiasaan merokok yang dapat berdampak buruk untuk kedepannya.

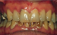
3. Membuat Noda di Gigi
Bahaya merokok bagi wanita
merokok dapat menyebabkan gigt kita berwarna kuning dan kusam , karena zat- zat yang terkandung didalamnya dapat melekat pada gigi dan memberi warna pada gigi. Gigi yang kuning tentunya dapat mengganggu penampilan.

4. Membuat Kulit Keriput
Bahaya merokok bagi wanita
kulit keriput ini di sebabkan karena merokok dapat mengurangi kadar oksigen dalam kulit, sehingga kulit yang kekurangan oksigen dapat menjadi keriput dan kering.

5. Mempengaruhi Kesuburan
Bahaya merokok bagi wanita
wanita yang merokok tingkat kesuburan nya akan berkurang , selain menyebabkan kemandulan merokok juga dapat meningkatkan resiko infertilitas seorang wanita.

Sebaiknya bagi seorang wanita hindarilah kegiatan merokok yang dapat berdampak buruk bagi kesehatan, nah itulah beberapa alasan mengapa wanita tidak dianjurkan untuk merokok.


like dan share ya jika bermanfaat
0
1.4K
3
GuestAvatar border
Komentar yang asik ya
Urutan
Terbaru
Terlama
GuestAvatar border
Komentar yang asik ya
Komunitas Pilihan