- Beranda
- Komunitas
- Entertainment
- The Lounge
Apa dan Bagaimana Batu Kandung Empedu?
TS
ZimaZuma
Apa dan Bagaimana Batu Kandung Empedu?
Apa dan Bagaimana Batu Kandung Empedu?
Quote:
Quote:
kalo berkenan di
ya gan
ya ganQuote:
Spoiler for no repost:
tapi maaf jika seandainya

Quote:
Quote:

Quote:
Quote:
Penyakit kandung empedu menjadi favorit karena kebetulan mengenai tokoh nasional. Proses penanganannya juga berjalan lancar melalui operasi yang berlangsung hanya 1 jam. Satu hari setelah operasi beliau sudah bisa turun dari tempat tidur dan jalan-jalan.
Gejala utama peradangan empedu termasuk batu kandung empedu adalah nyeri perut. Nyeri perut sendiri adalah suatu keadaan yang sering ditemukan dan mengantarkan pasien datang ke RS baik di poliklinik maupun gawat darurat RS. Pasien yang datang ke Poliklinik penyakit dalam 30 % karena nyeri perut dan 50-60 % yang datang ke konsultan penyakit lambung dan pencernaan. Nyeri perut yang terjadi bisa tiba-tiba atau kronis. Nyeri perut berhubungan dengan organ yang terkena yang menimbulkan nyeri perut tersebut. Nyeri perut di ulu hati tidak selalu berasal dari lambung atau maag, bisa berasal dari pancreas, kandung empedu, liver atau usus dua belas jari. Bahkan nyeri perut di ulu hati juga bisa berhubungan dengan serangan jantung dalam hal ini serangan jantung bagian bawah (infark miokard inferior).
Nyeri ulu hati karena masalah kandung empedu terjadi karena adanya peradangan pada kandung empedu baik berlangsung akut maupun kronis. Nyeri ulu hari karena masalah di kandung empedu bisa juga terjadi karena adanya batu pada kandung empedu. Jika dianalisa lebih lanjut batu kandung empedu terdiri dari batu kolesterol dan batu pigmen.
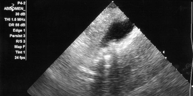
Nyeri karena adanya batu kandung empedu berlangsung beberapa saat dan berulang (kolik bilier), biasanya nyeri tersebut dapat menjalar ke punggung belakang. Untuk mengetahui penyebab dari nyeri ulu hati tersebut perlu dilakukan USG abdomen. Melalui pemeriksaan USG abdomen dapat diketahui apakah ada peradangan baik akut maupun kronis pada kandung empedu tersebut. Selain itu melalui pemeriksaan USG juga diidentifikasi adanya batu pada kandung empedu. Pemeriksaan USG abdomen juga dapat mengevaluasi saluran empedu, bisa mengidentifikasi adanya pelebaran saluran empedu.
Sumbatan bisa terjadi jika batu yang ada di kandung empedu menyumbat pada saluran empedu tersebut. Data yang ada pada kami 20 % pasien dengan keluhan nyeri ulu hati atau nyeri perut disebabkan karena gangguan pada kandung empedunya baik berupa batu di kandung empedu atau peradangan pada kandung empedu itu sendiri. Kalau dilihat dari umur 20 % kasus yang mengalami gangguan pada kandung empedu tersebut lebih dari 80 % berumur diatas 40 tahun dan tidak ada yang berumur dibawah 30 tahun.
Peradangan pada kandung empedu (kholesistitis) yang berlangsung tiba-tiba atau akut, bisa ringan dan bisa berat. Pada kondisi yang berat, infeksi bisa saja selain mengenai kandung empedu juga bisa mengenai pancreas. Bahkan bisa terjadi infeksi luas dan sistemik yang dapat membahayakan jiwa.
Pasien dengan peradangan kandung empedu akut perlu dirawat di RS dan perlu mendapat antibiotika sistemik. Kandung empedu yang bermasalah apalagi ada batu didalamnya biasanya memang kandung empedu tersebut harus diangkat (kolesistektomi). Pada kondisi yang ringan dan dengan batu kandung empedu tanpa keluhan sama sekali, biasanya tidak perlu diatasi dengan operasi. Pengobatan pada batu kandung empedu yang tunggal dan kecil (diameter kurang dari 1,5 cm) cukup dengan diet dan obat-obatan. Obat-obatan yang diberikan yaitu obat yang bekerja melarutkan batu kolesterol yaitu ursodeoxycholic acid (UDCA). Obat ini biasanya diberikan selama 3 bulan.
Pada kasus yang memang memerlukan oeprasi, saat ini sebagian besar RS juga telah menerapkan tehnik laparaskopi untuk pengangkatan kandung empedu tersebut, Melalui tehnik ini masa rawat manjadi pendek, komplikasi paska operasi menjadi minimal.
Gejala utama peradangan empedu termasuk batu kandung empedu adalah nyeri perut. Nyeri perut sendiri adalah suatu keadaan yang sering ditemukan dan mengantarkan pasien datang ke RS baik di poliklinik maupun gawat darurat RS. Pasien yang datang ke Poliklinik penyakit dalam 30 % karena nyeri perut dan 50-60 % yang datang ke konsultan penyakit lambung dan pencernaan. Nyeri perut yang terjadi bisa tiba-tiba atau kronis. Nyeri perut berhubungan dengan organ yang terkena yang menimbulkan nyeri perut tersebut. Nyeri perut di ulu hati tidak selalu berasal dari lambung atau maag, bisa berasal dari pancreas, kandung empedu, liver atau usus dua belas jari. Bahkan nyeri perut di ulu hati juga bisa berhubungan dengan serangan jantung dalam hal ini serangan jantung bagian bawah (infark miokard inferior).
Nyeri ulu hati karena masalah kandung empedu terjadi karena adanya peradangan pada kandung empedu baik berlangsung akut maupun kronis. Nyeri ulu hari karena masalah di kandung empedu bisa juga terjadi karena adanya batu pada kandung empedu. Jika dianalisa lebih lanjut batu kandung empedu terdiri dari batu kolesterol dan batu pigmen.
Nyeri karena adanya batu kandung empedu berlangsung beberapa saat dan berulang (kolik bilier), biasanya nyeri tersebut dapat menjalar ke punggung belakang. Untuk mengetahui penyebab dari nyeri ulu hati tersebut perlu dilakukan USG abdomen. Melalui pemeriksaan USG abdomen dapat diketahui apakah ada peradangan baik akut maupun kronis pada kandung empedu tersebut. Selain itu melalui pemeriksaan USG juga diidentifikasi adanya batu pada kandung empedu. Pemeriksaan USG abdomen juga dapat mengevaluasi saluran empedu, bisa mengidentifikasi adanya pelebaran saluran empedu.
Sumbatan bisa terjadi jika batu yang ada di kandung empedu menyumbat pada saluran empedu tersebut. Data yang ada pada kami 20 % pasien dengan keluhan nyeri ulu hati atau nyeri perut disebabkan karena gangguan pada kandung empedunya baik berupa batu di kandung empedu atau peradangan pada kandung empedu itu sendiri. Kalau dilihat dari umur 20 % kasus yang mengalami gangguan pada kandung empedu tersebut lebih dari 80 % berumur diatas 40 tahun dan tidak ada yang berumur dibawah 30 tahun.
Peradangan pada kandung empedu (kholesistitis) yang berlangsung tiba-tiba atau akut, bisa ringan dan bisa berat. Pada kondisi yang berat, infeksi bisa saja selain mengenai kandung empedu juga bisa mengenai pancreas. Bahkan bisa terjadi infeksi luas dan sistemik yang dapat membahayakan jiwa.
Pasien dengan peradangan kandung empedu akut perlu dirawat di RS dan perlu mendapat antibiotika sistemik. Kandung empedu yang bermasalah apalagi ada batu didalamnya biasanya memang kandung empedu tersebut harus diangkat (kolesistektomi). Pada kondisi yang ringan dan dengan batu kandung empedu tanpa keluhan sama sekali, biasanya tidak perlu diatasi dengan operasi. Pengobatan pada batu kandung empedu yang tunggal dan kecil (diameter kurang dari 1,5 cm) cukup dengan diet dan obat-obatan. Obat-obatan yang diberikan yaitu obat yang bekerja melarutkan batu kolesterol yaitu ursodeoxycholic acid (UDCA). Obat ini biasanya diberikan selama 3 bulan.
Pada kasus yang memang memerlukan oeprasi, saat ini sebagian besar RS juga telah menerapkan tehnik laparaskopi untuk pengangkatan kandung empedu tersebut, Melalui tehnik ini masa rawat manjadi pendek, komplikasi paska operasi menjadi minimal.
Quote:
Quote:
Kenapa seseorang bisa terkena batu empedu?
Wanita lebih banyak pada laki-laki, semakin tinggi umur semakin tinggi terkena batu kandung empedu ini, pada pasien diatas 40 tahun akan lebih berisiko untuk terjadinya batu kandung empedu. Di Amerika 25 % wanita berumur 60 tahun mengalami batu empedu dan setelah diatas 75 tahun hampir 50 % mengalami batu empedu. Resiko lain untuk terjadinya batu kandung empedu antara lain obesitas, diabetes mellitus, pasien dengan sindrom metabolik yaitu dengan obesitas, kadar kolesterol HDL (kolesterol baik) yang rendah, trigliserida yang tinggi, tekanan darah yang tinggi, dan juga dengan gula darah yang tinggi, riwayat keluarga dengan kandung empedu, diet tinggi lemak dan tinggi kolesterol dan rendah serat dan yang menarik juga ternyata penurunan berat badan yang mendadak juga bisa menyebabkan terbentuknya batu kandung empedu.
Bagi pasien yang sudah dioperasi kandung empedunya juga tetap harus menjaga makannya karena bisa saja terbentuknya pasir dan batu pada saluran empedunya walau kandung empedunya sudah diangkat.
Salam sehat,
sumber; KOMPAS.com
Wanita lebih banyak pada laki-laki, semakin tinggi umur semakin tinggi terkena batu kandung empedu ini, pada pasien diatas 40 tahun akan lebih berisiko untuk terjadinya batu kandung empedu. Di Amerika 25 % wanita berumur 60 tahun mengalami batu empedu dan setelah diatas 75 tahun hampir 50 % mengalami batu empedu. Resiko lain untuk terjadinya batu kandung empedu antara lain obesitas, diabetes mellitus, pasien dengan sindrom metabolik yaitu dengan obesitas, kadar kolesterol HDL (kolesterol baik) yang rendah, trigliserida yang tinggi, tekanan darah yang tinggi, dan juga dengan gula darah yang tinggi, riwayat keluarga dengan kandung empedu, diet tinggi lemak dan tinggi kolesterol dan rendah serat dan yang menarik juga ternyata penurunan berat badan yang mendadak juga bisa menyebabkan terbentuknya batu kandung empedu.
Bagi pasien yang sudah dioperasi kandung empedunya juga tetap harus menjaga makannya karena bisa saja terbentuknya pasir dan batu pada saluran empedunya walau kandung empedunya sudah diangkat.
Salam sehat,
sumber; KOMPAS.com
Quote:
Quote:
Lanjut ke bawah Gan
0
7.4K
Kutip
43
Balasan
Komentar yang asik ya
Urutan
Terbaru
Terlama
Komentar yang asik ya
Komunitas Pilihan