klo rusakny udh g bs d betulin n mo bersih" rumah mending d jual ke loakan aj ( pasar loak gading / tmpt loakan d belakang zipur gading / d bugul deket rel kreta / ke tempat servisan klo laku sih :hammer: :Peace: ) gan :D Oh disana toh.. Masih bisa pakai semua kok gan. Yo wis suwun gan...
dirumah ada tv sama mesin cuci rusak, dijual kemana ya gan kalo di pasuruan? Sumpek lihat rumah banyak barang nganggur. Nggak bahaya gan, cuman jalanya jadi licin kalo hujan. Tp nanti ditemeni guide kok.
ID : Xchatzi Nama : Azmi Ilham Ramadhan TTL : Pasuruan, 10 April 1991 Domisili : Mal - Pas ID YM / FB : - Email : pasuruan@live.com No.HP : 0819841686 sing sarungan
ID : Xchatzi Nama : Azmi Ilham Ramadhan TTL : Pasuruan, 10 April 1991 Domisili : Mal - Pas ID YM / FB : - Email : pasuruan@live.com No.HP : 0819841686 http://kkcdn-static.kaskus.co.id/images/2012/12/30/1733307_20121230104752.JPG sing sarungan
FLO RIDA ft. Sia - Wild Ones A7x - Gunslinger The Script - For the first time The Fray - You found me
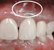
http://hanifbram.files.wordpress.com/2011/11/gb8.jpg?w=300 kasus agan dinamakan abses periapikal dengan penjelasan sbb Wihh serem liat penjelasan dokter... Sepertinya harus segera mampir ke tempat praktek beliau. Terimakasih banyak dok penjelasan'nya, sangat klir.
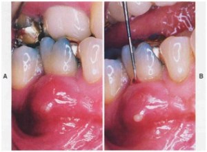
Apakah yg dimaksud agan seperti ini? http://4.bp.blogspot.com/_MCdLOttsqWw/TL_lCep7SrI/AAAAAAAAEj4/M4OYt3cwPxU/s1600/Periapical+Abscess.jpgIya dok mirip. Kalau ditekan sperti ada airnya. Kenapa ya dok?
aq wes takok travel podo ga gelem om nek komputer trus jek tas aq nyoba cek nag wahana tak coba gawe weight 50 Kg kenone 300 k . . . kiro2 3 unit kompi karo UPS iku abot'e piro yoh :bingungs HDD ? hardisk om ? sing aman gawe opo om ?? :bingungs Pakai ESL mungkin om. Saya pernah kirim 2 gitar tabu